Restauri protesici sugli incisivi centrali
Restauri protesici sugli incisivi centrali con corone in Zirconia.
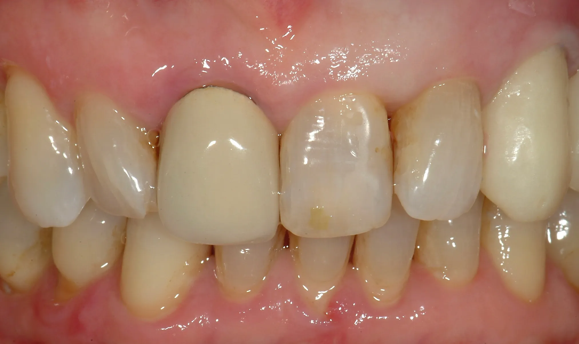
Prima

Dopo

Descrizione del caso
La paziente si è presentata con problematiche estetiche e funzionali agli incisivi centrali superiori. Dopo un'attenta valutazione, abbiamo proposto una soluzione protesica con corone in Zirconia, materiale che garantisce eccellenti risultati estetici e grande resistenza nel tempo. Il trattamento è stato completato in tre sedute: preparazione dei denti, rilevamento delle impronte digitali e posizionamento delle corone definitive. Il risultato finale ha permesso di ottenere un sorriso naturale ed esteticamente piacevole, con piena soddisfazione della paziente.
Procedura
- 1
Valutazione dello stato degli incisivi centrali
- 2
Preparazione dei denti per le corone
- 3
Presa delle impronte digitali
- 4
Realizzazione e posizionamento delle corone in Zirconia
Risultati
Ripristino completo dell'estetica e della funzionalità degli incisivi centrali con corone in Zirconia di alta qualità.
Vuoi un risultato simile per il tuo sorriso?
Il nostro team di specialisti è pronto a valutare il tuo caso e proporre un piano di trattamento personalizzato per le tue esigenze.