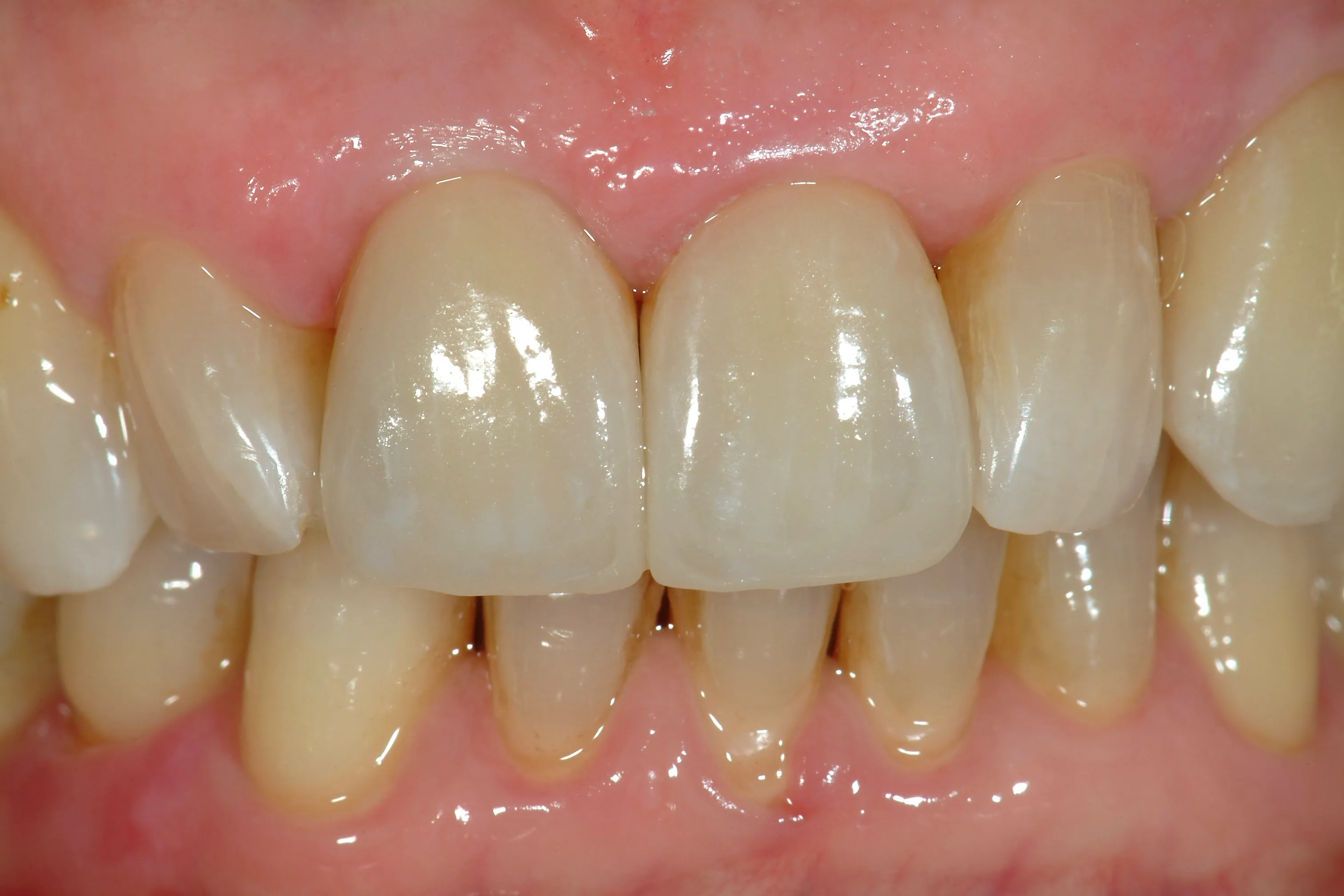
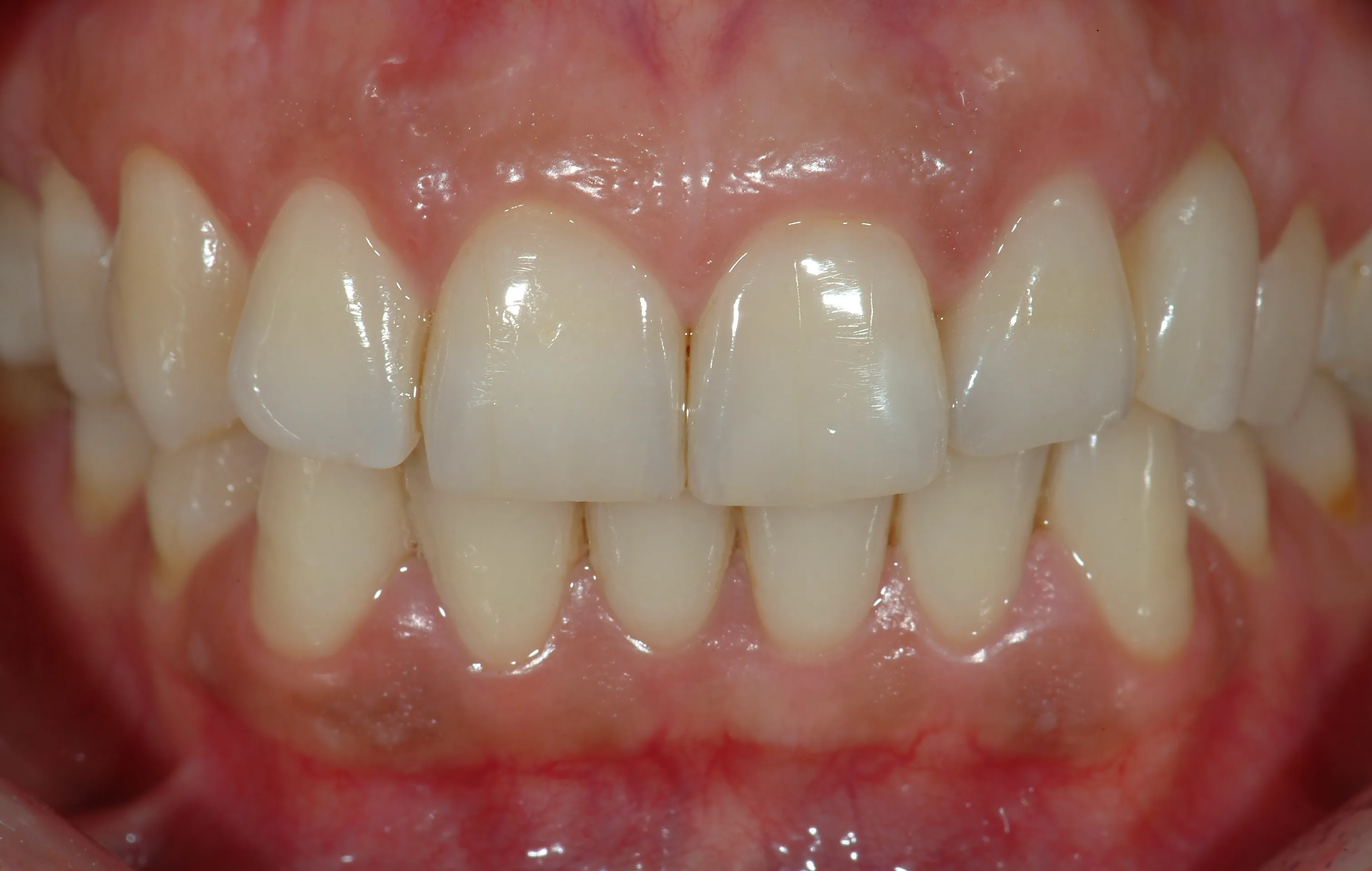
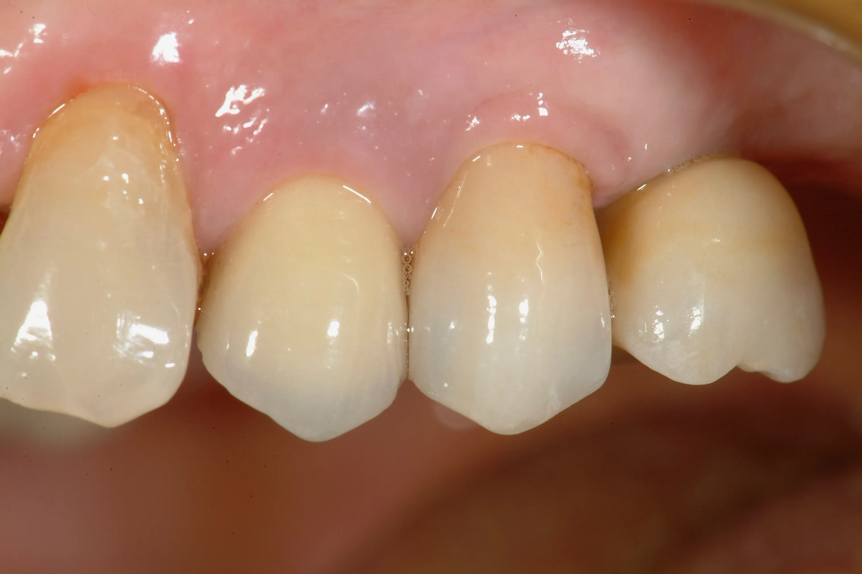
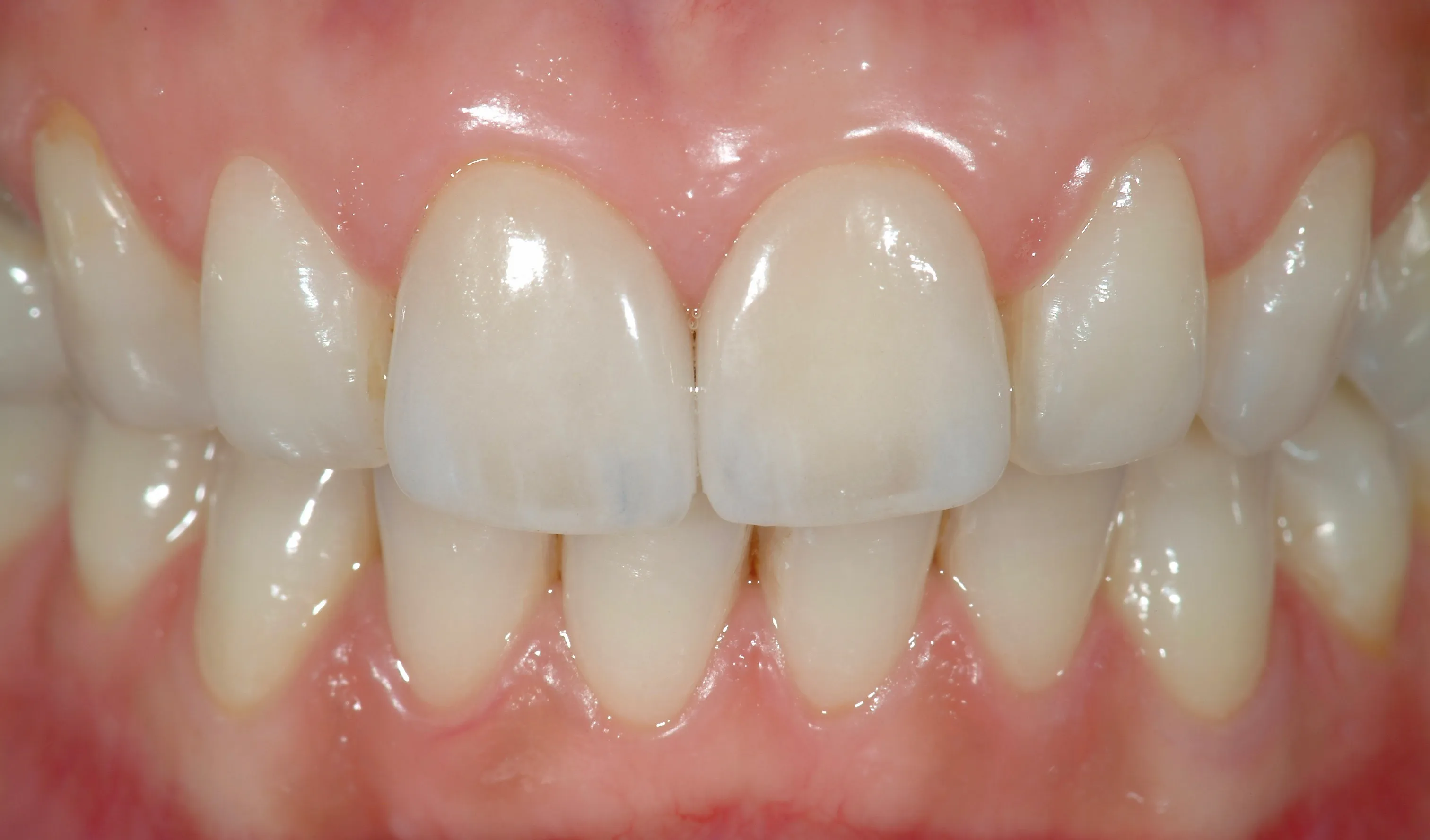
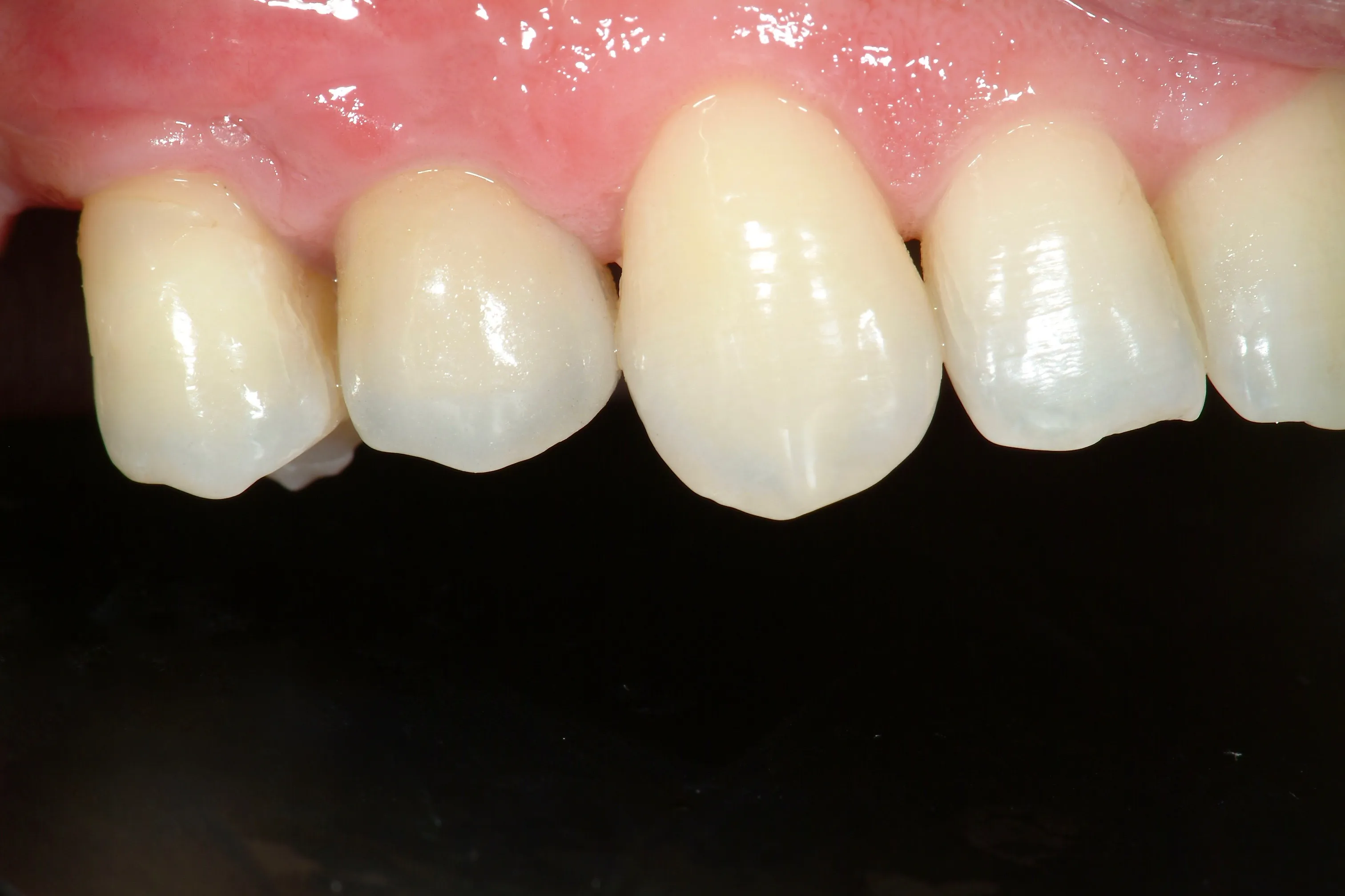
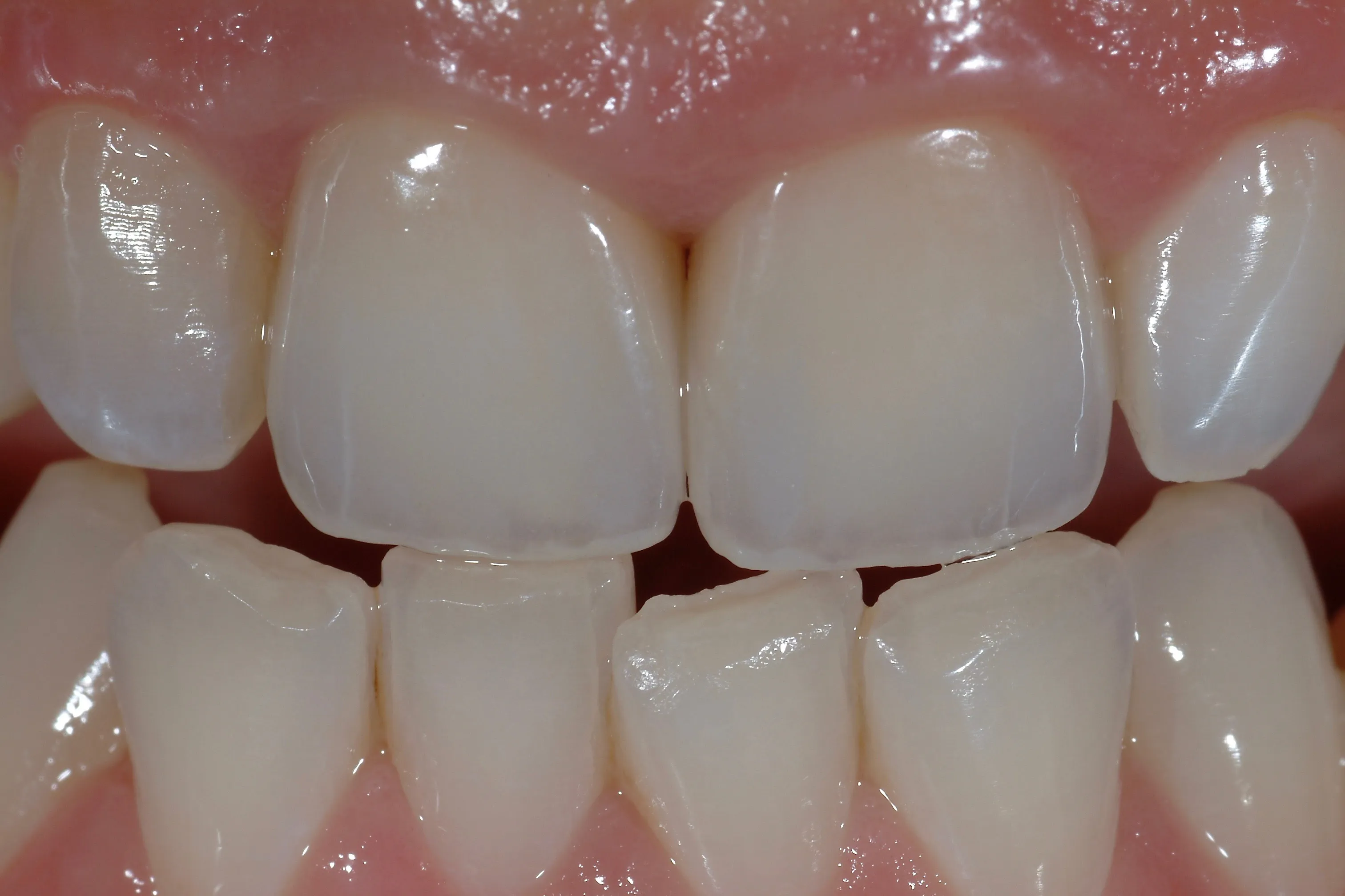
Casi Clinici
Esplora i risultati dei nostri trattamenti attraverso casi reali di pazienti che hanno migliorato il loro sorriso con noi.
Sei pronto per trasformare il tuo sorriso?
Il nostro team di specialisti è pronto a valutare il tuo caso e proporre un piano di trattamento personalizzato per le tue esigenze.





