Riabilitazione implanto-protesica
Riabilitazione implanto-protesica con tecnica flapless, senza lembi e suture.
Prima

Dopo

Descrizione del caso
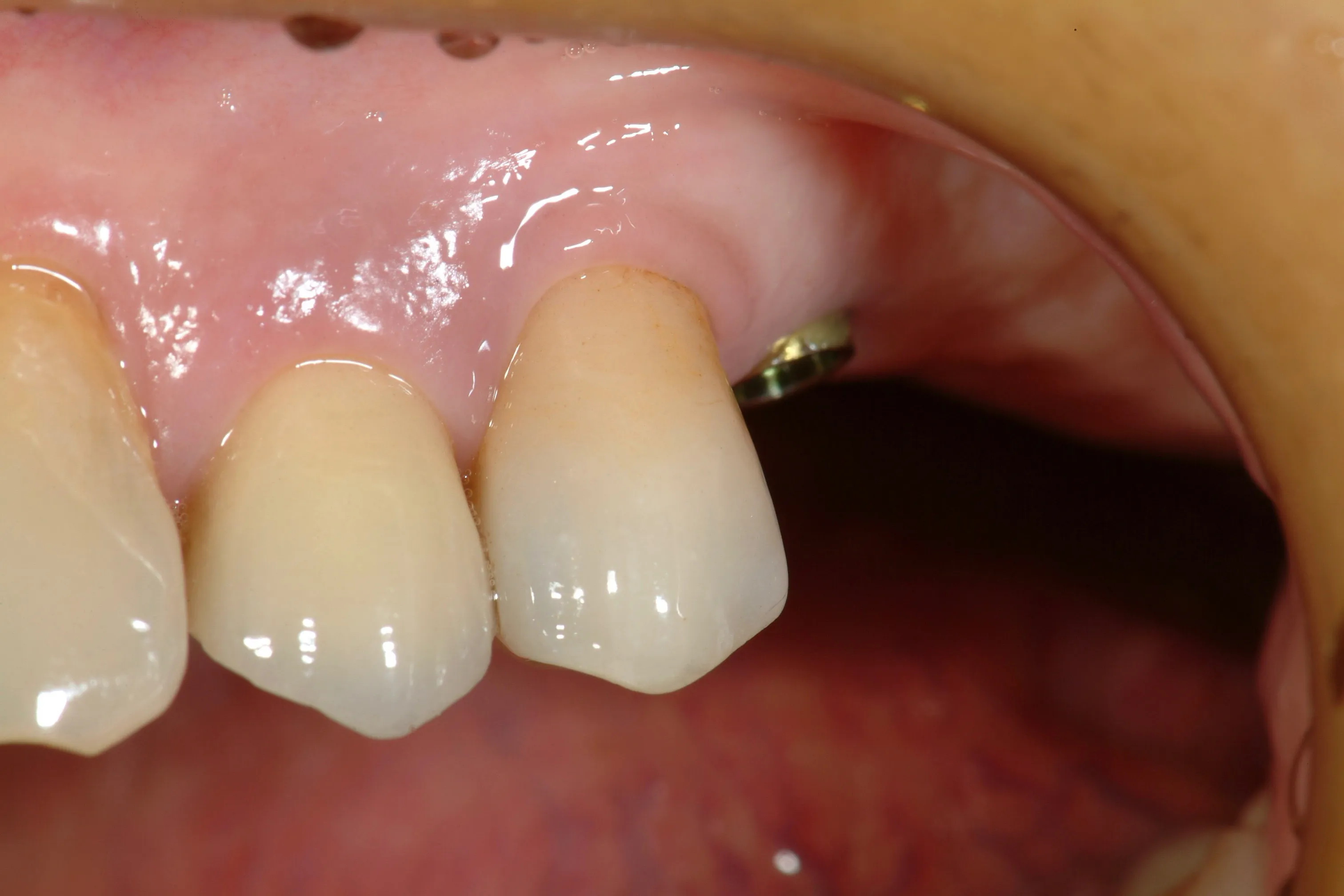
La paziente necessitava di sostituire un elemento dentale mancante. Abbiamo proposto un trattamento di implantologia con tecnica flapless, un approccio minimamente invasivo che non richiede incisioni gengivali e suture. Questo ha permesso di ridurre notevolmente il disagio post-operatorio, il gonfiore e i tempi di guarigione. L'intervento è stato preceduto da un'accurata pianificazione 3D. Dopo il periodo di osteointegrazione dell'impianto, abbiamo realizzato una corona protesica personalizzata che ha ripristinato perfettamente l'estetica e la funzionalità del dente mancante.
Procedura
- 1
Valutazione radiografica e pianificazione 3D
- 2
Inserimento dell'impianto con tecnica flapless
- 3
Periodo di osteointegrazione
- 4
Realizzazione della corona protesica
- 5
Fissaggio della corona definitiva
Risultati
Sostituzione di un elemento dentale mancante con impianto e corona protesica, utilizzando una tecnica minimamente invasiva per un recupero più rapido e confortevole.
Vuoi un risultato simile per il tuo sorriso?
Il nostro team di specialisti è pronto a valutare il tuo caso e proporre un piano di trattamento personalizzato per le tue esigenze.