Riabilitazione implanto-protesica su dente fratturato
Riabilitazione implanto-protesica per sostituire un dente fratturato.
Prima

Dopo

Descrizione del caso
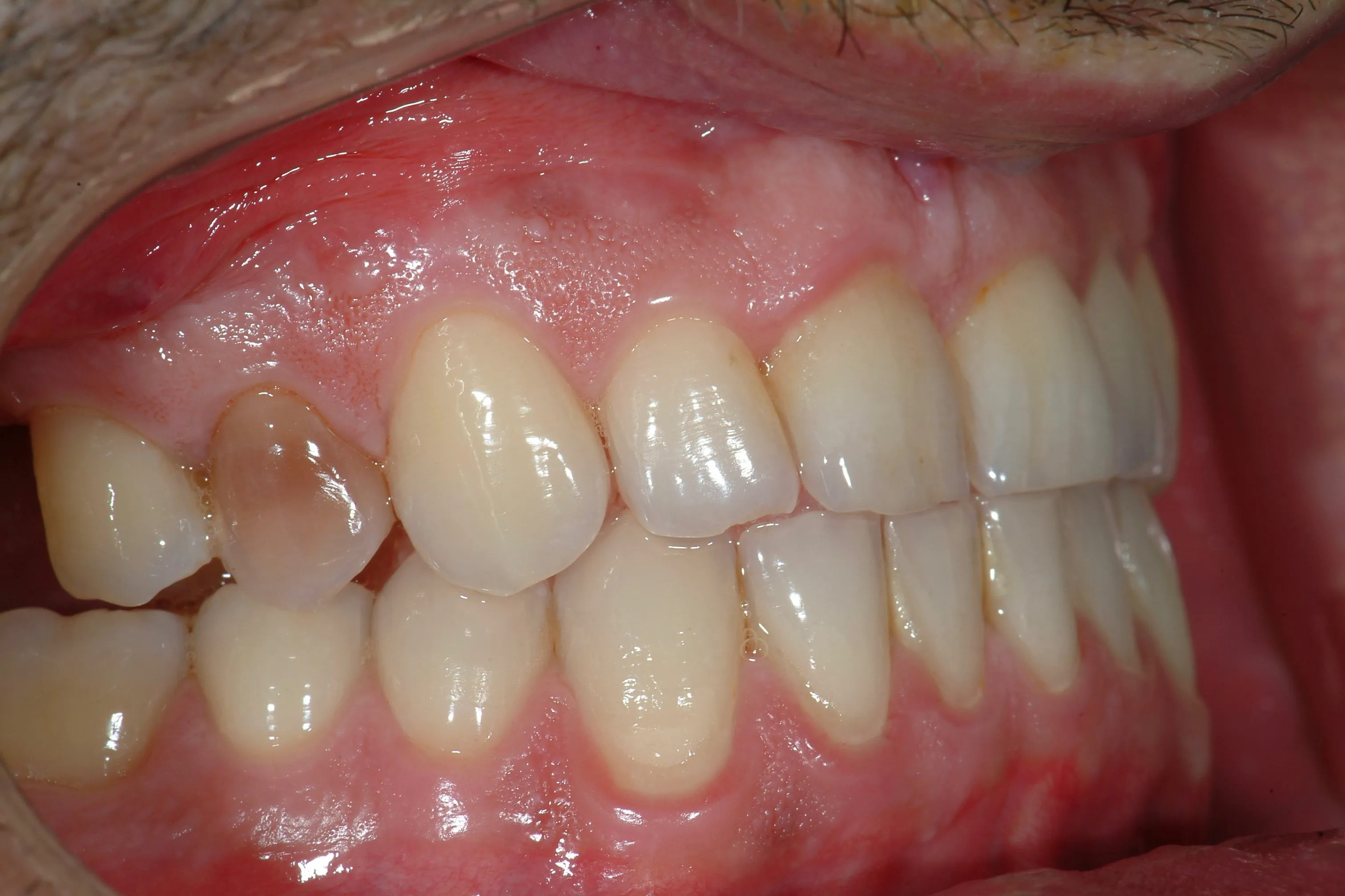
Il paziente si è presentato con un dente fratturato non recuperabile con terapie conservative. Dopo l'estrazione del elemento, abbiamo inserito un impianto dentale in titanio per sostituire la radice del dente. Dopo il periodo di osteointegrazione, durante il quale l'impianto si è saldamente integrato con l'osso circostante, abbiamo realizzato una corona protesica personalizzata. Il risultato finale ha permesso di ripristinare completamente sia l'estetica che la funzionalità masticatoria, con un risultato indistinguibile da un dente naturale.
Procedura
- 1
Estrazione del dente fratturato
- 2
Inserimento dell'impianto dentale
- 3
Periodo di osteointegrazione
- 4
Realizzazione e posizionamento della corona protesica
Risultati
Sostituzione di un dente fratturato irrecuperabile con un impianto dentale e corona protesica, ripristinando completamente funzionalità ed estetica.
Vuoi un risultato simile per il tuo sorriso?
Il nostro team di specialisti è pronto a valutare il tuo caso e proporre un piano di trattamento personalizzato per le tue esigenze.