Restyling degli incisivi centrali
Restyling degli incisivi centrali con faccette in Ceramica Feldspatica.
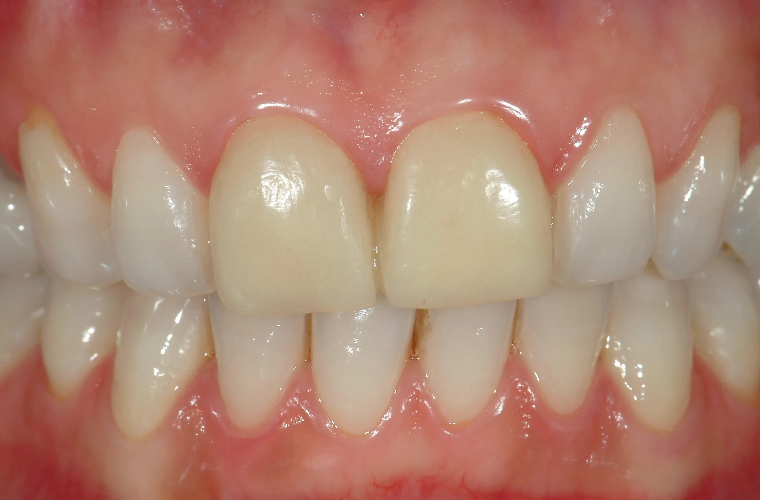
Prima

Dopo

Descrizione del caso
La paziente desiderava migliorare l'estetica dei suoi incisivi centrali. Dopo un'attenta analisi, abbiamo proposto un trattamento con faccette in Ceramica Feldspatica, materiale che permette di ottenere risultati estremamente naturali con eccellenti proprietà ottiche. Il trattamento è iniziato con una progettazione digitale del sorriso, seguita da una preparazione minimamente invasiva dei denti per preservare il più possibile lo smalto naturale. Le faccette sono state realizzate su misura da un laboratorio specializzato e poi cementate definitivamente. Il risultato ha trasformato completamente il sorriso della paziente, mantenendo un aspetto naturale e armonioso.
Procedura
- 1
Progettazione digitale del sorriso
- 2
Preparazione minimamente invasiva dei denti
- 3
Presa delle impronte
- 4
Realizzazione delle faccette in Ceramica Feldspatica
- 5
Cementazione definitiva
Risultati
Trasformazione completa del sorriso con risultati naturali ed esteticamente superiori grazie alle faccette in Ceramica Feldspatica.
Vuoi un risultato simile per il tuo sorriso?
Il nostro team di specialisti è pronto a valutare il tuo caso e proporre un piano di trattamento personalizzato per le tue esigenze.