Sostituzione di vecchi restauri incongrui
Sostituzione di vecchi restauri incongrui sugli incisivi centrali con corone in zirconia, recuperando la salute gengivale.
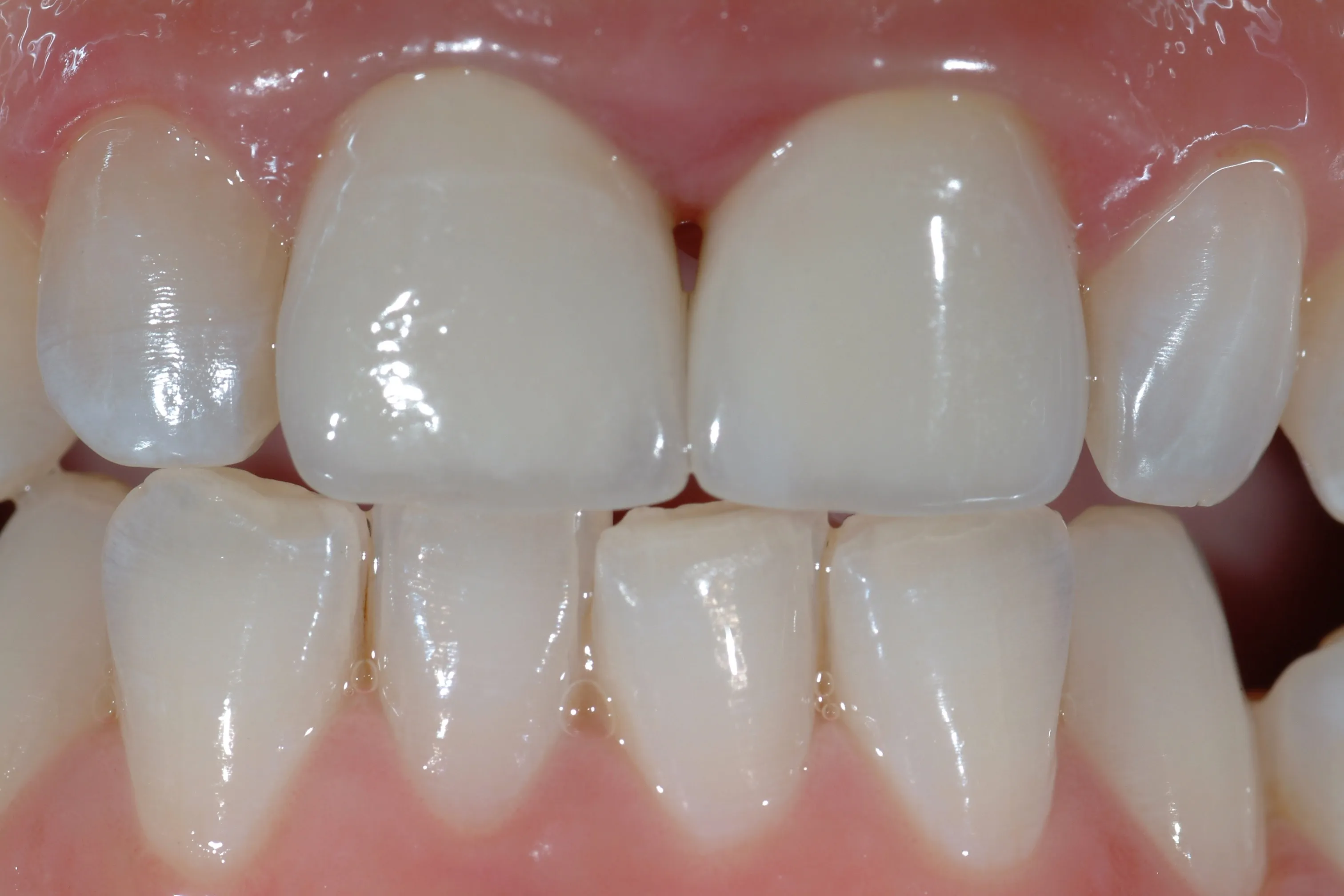
Prima

Dopo

Descrizione del caso
La paziente presentava vecchi restauri incongrui sugli incisivi centrali che avevano compromesso anche la salute gengivale. Il trattamento è iniziato con la rimozione dei vecchi restauri e una fase di terapia parodontale per ripristinare la salute dei tessuti gengivali. Successivamente, abbiamo preparato i denti per accogliere le nuove corone in zirconia, materiale biocompatibile che favorisce il mantenimento della salute gengivale. Le nuove corone sono state progettate prestando particolare attenzione all'interfaccia con la gengiva. Il risultato finale ha permesso di recuperare sia l'estetica del sorriso che la salute dei tessuti circostanti, con grande soddisfazione della paziente.
Procedura
- 1
Rimozione dei vecchi restauri
- 2
Valutazione dello stato di salute gengivale
- 3
Trattamento parodontale preliminare
- 4
Preparazione dei denti
- 5
Realizzazione e posizionamento delle corone in zirconia
Risultati
Sostituzione dei vecchi restauri con corone in zirconia di alta qualità, ripristinando sia l'estetica del sorriso che la salute gengivale.
Vuoi un risultato simile per il tuo sorriso?
Il nostro team di specialisti è pronto a valutare il tuo caso e proporre un piano di trattamento personalizzato per le tue esigenze.